치아교정의 대표적인 부작용 4가지
- 건강 뷰티
- 2020. 10. 29.
오늘은 치아교정의 대표적인 부작용에 대해 알아볼까 합니다.
아! 저는 교정을 했습니다. 교정하는데 5년 걸렸고, 후회하지 않습니다.
교정의 결과가 거의 양악 수준이었거든요. 효과를 많이 봤습니다.

치아 교정의 부작용은 여러가지가 있습니다. 하지만 대부분이 하는 공통적인 말이 있습니다
바로 크게 불편하지 않으면 그냥 사는게 좋다 라는 말입니다. 미관상 보기 좋고, 불편함도 없어지는 치아교정!
헌데 왜 다들 안하는게 좋다고 말하는 것일까요? 그 배경에는 여러 부작용이 있습니다.
확율이 높은건 아니지만, 내가 안걸린다는 보장도 없는 부작용입니다.
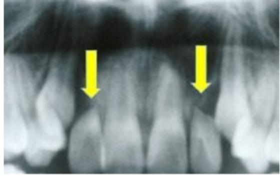
1. 치은퇴축 (잇몸 퇴축)

잇몸 퇴축입니다. 잇몸이 가라앉아서 치아의 뿌리가 보이는 상태를 말합니다.
당연한 말이겠지만, 허전함이 심하고 이가 자주 시리게 됩니다. 심하면 수술을 해야합니다.

위의 사진을 보면 충분히 알수 있지요. 치아가 흔들리고 뿌리 부분이 드러나 있습니다.
진짜 심하게 되면 치아가 빠지게 됩니다. 노환으로 인한 치아 빠짐이 빨라집니다.
2. 치근 흡수

두번째로 치근 흡수 입니다. 치근, 즉 치아의 뿌리 부분이 흡수되어 버리는 겁니다.
이는 첫번째인 잇몸 퇴축과 반대되는 현상입니다. 치아 자채가 내려앉아 잇몸에 파묻히게 됩니다.

가장 흔한 부작용이고, 이 또한 치아가 흔들거리며 빠지게 됩니다.
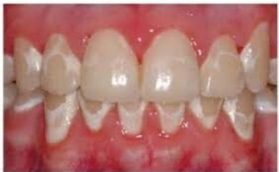
3. 치아탈회

세번째로 치아 탈회 입니다. 위의 보는바와 같이 치아가 변색됩니다.
치아가 썩으면 검은색으로 알고 있지만, 위와 같은 흰색으로 썩을 수도 있습니다.
지속적인 관리가 필요합니다.
4. 팔자주름

마지막으로 팔자주름입니다. 교정을 하게되면 주름이 생길지 안생길지 모릅니다.
저같은 경우에는 처음부터 돌출형 입이기에 팔자주름이 심했습니다.
하지만 지금은 적당합니다. 송곳니 4개와 사랑니 3개 총 7개의 치아를 발치해서 입을 거국적으로 집어넣은 케이스 입니다. 당시 원장님 교정 경력이 10년이었는데 제가 5년동안 교정을 했으니... 15년 채워 드렸네요.
원장님이 시작할때 5살은 어려보일꺼라 했는데.... 아니 5년이 지나면 똑같은거 아닌가요!? 말하고 싶었지만
진짜 인상애 둥글둥글해 졌습니다.
만약 교정을 고민하는 분들이 있다면 저는 추천드리고 싶습니다.
정말 정말 정말 좋습니다.